GRANDS DONATEURS
FAIRE UN DON
  • Facebook
  • LinkedIn
  • YouTube
ARTC
  • QUI SOMMES-NOUS ?

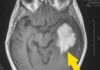
Les Tumeurs Cérébrales

ARTCLes Tumeurs Cérébrales
Définition

Définition

Les causes des tumeurs au cerveau

Les causes des tumeurs au cerveau

Lire la suite
Les Symptômes

Les Symptômes

Lire la suite
Les examens

Les examens

Lire la suite
Les traitements

Les traitements

Lire la suite
Questions et Réponses

Questions et Réponses

Lire la suite
Retour
      NOUS SOUTENIR
      © 2026 ARTC Tous droits réservés | Mentions légales | Politique de Cookies | Politique de Confidentialité